USD

Occlusion vs Malocclusion – How Myo Munchee Supports Alignment

Understanding Occlusion and Malocclusion: How the Myo Munchee Can Support Better Oral Alignment

[]
Author: Cheree Wheaton  |  3 min read  |  Jan 16, 2026
Cheree Wheaton

Before we dive in, a quick note for parents:

This article gives a short, simple explanation of the difference between occlusion and malocclusion, two terms that often sound more complicated than they really are. It’s meant to offer clarity, not an exhaustive deep‑dive.

You’ll find a brief overview so you can feel confident about what these terms mean when they come up in conversations with your child’s dentist or health care practitioner.

What you’ll learn

  • The difference between occlusion and malocclusion
  • Why muscles – lips, tongue, cheeks and jaw – shape oral posture
  • How the Myo Munchee may support better alignment as an adjunct tool
  • Practical steps for parents and clinical cues for practitioners

Occlusion 101: how your bite comes together

Occlusion describes how upper and lower teeth meet. It isn’t only about teeth, it’s about the whole oral system. Bones grow along functional lines, muscles guide that function. Good occlusion supports comfortable chewing, clear speech and stable joints.

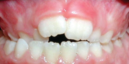
Malocclusion: when meeting points miss the mark

Malocclusion is a misalignment in how teeth or jaws meet. It can show as crowding, spacing or an uneven bite. Sometimes it reflects growth patterns. Often, it reflects function. Habits like mouth breathing and low tongue posture can influence form.

Muscle patterns matter: form follows function

Oral posture sets the baseline: lips together, tongue up, breathe through your nose. These patterns guide jaw development and arch shape over time. Consistent chewing also conditions muscles for strength and endurance. When function improves – growth and stability have a better chance.

Where the Myo Munchee fits: small device – big impact

Myo Munchee is a small chewing tool used in short, daily sessions. It helps activate oral muscles in a coordinated, repeatable way. Use is adjunctive – it complements professional care plans. The focus is proactive care, not promises of correction or cure.

Benefits you may experience

  • Supports lip seal through repeated, purposeful activation
  • Encourages nasal breathing with lips together during practice
  • Builds tongue and jaw endurance through rhythmic chewing
  • Helps clean teeth surfaces while training coordinated function

Note: We avoid claims of treating or correcting conditions – think support and activation within a collaborative approach.

Occlusion across growth: what to watch at each stage

Early years (2–6): Establish nasal breathing and lip seal. Chewing real foods builds foundational muscle patterns.

Mixed dentition (6–12): Growth accelerates – function matters even more. Myo Munchee practice can reinforce posture alongside clinical guidance.

Adolescence+: Consistency keeps gains – muscles need ongoing use. Adjunct tools and good habits help maintain outcomes over time.

Safe, smart use: practical tips

  • Start slow – prioritise quality over intensity
  • Keep the device clean – rinse and air-dry between sessions
  • Stop if there’s pain – consult your practitioner
  • Align with existing appliances or therapies as directed
  • Build a team – parents, practitioner, and child work together

A note for parents: simple daily habits that build better function

  • Start with consistency: 5–10 minutes of supervised chewing each day
  • Seat the device gently, lips together, breathe through the nose
  • Encourage the tongue to rest on the palate between sets
  • Pair practice with mealtimes to anchor the routine
  • Reduce open-mouth habits – thumb sucking, screen slouching, “hang-open” lips
  • Celebrate small wins – stronger chewing and calmer nasal breathing come first.

A note for practitioners integrating the Myo Munchee into care pathways

  • Screen for function: lip seal, tongue posture, nasal patency and swallow
  • Identify habit drivers – airway, allergy, posture and diet considerations
  • Introduce the Myo Munchee as an orofacial myofunctional therapy adjunct
  • Dosage: brief, frequent sets to avoid fatigue and improve endurance
  • Cueing: “Lips together, tongue up, breathe through your nose.”
  • Track: document strength/endurance changes alongside broader clinical goals
  • Collaborate with dental, airway and allied health teams as needed

Frequently asked questions

Is Myo Munchee a replacement for orthodontics?

No. It’s an adjunct tool that supports function within comprehensive care.

How soon will we see changes?

Every child is different. Look first for habit shifts – lips together, tongue up, calmer nasal breathing.

Can adults use it?

Yes. Adults can improve muscle endurance and posture awareness with consistent use.

Like this article? Share it with others:

Link copied!

Meet the Author

Cheree Wheaton (B AppHSc – Oral Health) is an Oral Health Therapist with over two decades of experience supporting healthy oral development in children and families. She graduated from the University of Queensland in 2000 and has spent much of her career focused on prevention, jaw development, orthodontics, sleep, and neuromuscular dentistry.

In 2014, Cheree founded Smile Tone, her Brisbane-based Orofacial Myofunctional Therapy clinic, where she works closely with families to address the underlying functional causes of oral and airway concerns. Her approach is practical, compassionate, and centred on helping children build strong foundations for breathing, chewing, and overall wellbeing.

Cheree is a past President of the Australian Association of Orofacial Myology (AAOM) and is proud to serve as a Clinical Advisor for Myo Munchee, contributing her expertise to education, research, and family-focused resources.

She is deeply passionate about empowering parents with knowledge and early support, believing that when function is addressed early, children are given the best opportunity to thrive.

Website: smiletone.com.au/

Instagram: instagram.com/smiletoneomt/

Other Resources:

YouTube video: What is occlusion/malocclusion and how can the Myo Munchee™ help? Dr Mary Bourke, explains the terms ‘occlusion’ and ‘malocclusion’, and the various factors that create what we call an ‘ideal occlusion’.

YouTube video: Oral Dysfunction as a Cause of Malocclusion, an interview with Dr Mary Bourke & Linda D'Onofrio Dr Mary Bourke interviews Linda D'Onofrio (MS, CCC-SLP) on her paper, Oral dysfunction as a cause of malocclusion.