USD

Crossbite in Kids: What It Is – and How Myo Munchee Helps

Crossbites in Children: What are they, and how can a Myo Munchee help?

[]
Author: Cathy Boyce  |  4 min read  |  Jan 28, 2026
Cathy Boyce

When the upper and lower teeth meet together, we often notice teeth that don’t ‘meet’ correctly. The uneven contact is often referred to as a crossbite. Let’s unpack what this means, why it happens, and how simple daily habits can support better function at home.

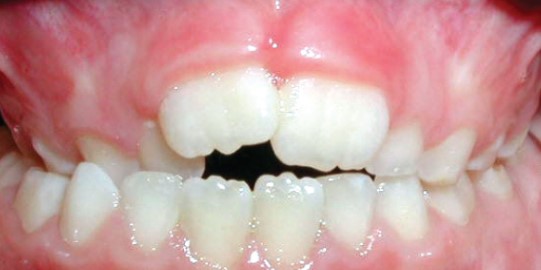
What is a crossbite?

A crossbite is noted when upper and lower teeth don’t line up in a balanced bite and can happen in different areas of the mouth.

  • Posterior crossbite: upper back teeth bite inside the lower teeth.
  • Anterior crossbite: one or more upper front teeth bite behind the lower ones.

Crossbites can appear on one side or both. It may be mild or more noticeable. Either way, it signals that the jaws and muscles aren’t working in harmony.

Why crossbites develop

Generally, multiple factors can influence bite development: prolonged mouth breathing, low tongue posture, thumb or dummy use, limited chewing and sometimes genetic influences. Growth years matter – habits shape muscles, and muscles guide how jaws function as kids grow.

Signs parents might notice:

  • Teeth meeting “off” to one side
  • A sideways shift when your child closes their teeth
  • Difficulty chewing certain foods
  • Open-mouth posture or noisy sleep
  • Preference for soft foods over crunchy textures

None of these signs diagnose a crossbite on their own. They simply tell us to look closer and book a professional assessment.

The functional story: lips together, tongue up, breathe through your nose

Healthy orofacial function looks simple: lips rest together, the tongue rests up, and breathing happens through the nose. This pattern supports jaw growth, oral posture, and more effective chewing.

When the pattern slips – open-mouth posture, low tongue, minimal chewing – muscles underperform. Over time, this can influence bite relationships, oral habits and function.

Where the Myo Munchee device fits in

The Myo Munchee is a small device with a big impact: a chewable oral tool, which can be used as part of orofacial myofunctional therapy at home. With practitioner guidance, short daily sessions help kids chew, activate key muscles, and build better patterns.

What it aims to support:

  • Tongue strength and endurance – encourages a stronger, more stable tongue posture. To aid in improved food / liquid transfer, swallowing and the tongue's resting position.
  • Lip seal – improves lip strength, so lips rest together more easily.
  • Nasal breathing – supports the shift from mouth breathing toward nose-first breathing.
  • Jaw development – functional chewing helps muscles guide growth more effectively.

The Myo Munchee is an adjunct tool – it works with your practitioner’s plan, not instead of it. Its role is not to treat or correct conditions directly, but to promote daily habits that improve function and support growth.

How daily chewing practice works

Short, consistent sessions are best. Think 5–10 minutes, once or twice per day, always supervised. Your practitioner may progress the routine:

  1. Warm-up holds: lips together, gentle nasal breathing.
  2. Slow, rhythmic chewing: both sides, even pressure.
  3. Rest posture reset: lips together, tongue up to the palate, breathe through the nose.

Keep it fun – music, a timer, bath time games, story time chewing, and a star chart can help. Consistency beats intensity.

Crossbite and the bigger picture

A crossbite is a signal, not a sentence. Many kids also need help with oral habits, sleep posture, and diet textures. Your practitioner may combine Myo Munchee with:

  • Myofunctional exercises for tongue posture and swallowing
  • Orthodontic or orthopaedic appliances when indicated
  • ENT or allergy care to support nasal airflow
  • Diet texture coaching – more crunchy, chewable foods when safe

When to start

Earlier is often easier. If you notice bite asymmetry, mouth-open rest posture, or persistent oral habits, book an assessment. Younger kids respond well to routine: short, playful sessions create momentum and routine.

Safety and supervision

Always use Myo Munchee under adult supervision. Follow the size guidance from your practitioner. If your child has complex dental or medical needs, seek team-based, collaborative care before starting any new routine.

FAQs parents ask

Will the Myo Munchee “fix” a crossbite?

We don’t claim to fix or treat conditions. Myo Munchee supports function – better chewing, lip seal, tongue posture, and nasal breathing, alongside your clinician’s plan.

How soon will we see changes?

Kids vary. We focus on consistent practice and measurable functional wins: stronger lips, improved tongue endurance, calmer mouth posture, and more efficient chewing. Your practitioner may notice minor but important improvements well before you do!

What if my child prefers soft foods?

Start slowly. Add safe, crunchy textures your practitioner approves. Chewing is both practice and progression – small steps create lasting habits.

Can older kids benefit?

Yes. Teens can build better function too – the program and goals simply adjust to their stage of growth and orthodontic needs.

Like this article? Share it with others:

Link copied!

Meet the Author

Cathy Boyce is an experienced Oral Health Therapist and Myofunctional Therapist (Australian Academy of Orofacial Myology) who has had a lifelong passion for physiological and holistic health improvement and a proven track record of health improvement advocacy in dental and allied health fields. Cathy is an avid supporter of the #muncheemovement.

Website: theofmt.com.au

Other Resources:

YouTube video: Crossbite Cathy Boyce explains what a crossbite is, what can cause it, and whether early treatment can help reverse crossbite in children.

YouTube video: Functional Crossbite Cathy Boyce explains how a child’s jaw can shift to one side when biting, why this happens, and why early treatment can help prevent long-term bite and jaw problems.

YouTube video: What is occlusion/malocclusion and how can the Myo Munchee™ help? Dr Mary Bourke, explains the terms ‘occlusion’ and ‘malocclusion’, and the various factors that create what we call an ‘ideal occlusion’.

Blog: Understanding Overbite: How It Affects Oral Health and How to Treat It